ba-10
ba-9
ba-8
ba-7
ba-6
ba-5
ba-4
ba-3
ba-2
ba-1
montgomery orthodontics
magnolia orthodontics
the woodlands orthodontist
orthodontics for all ages
manning orthodontics

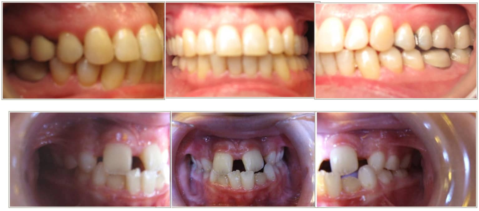
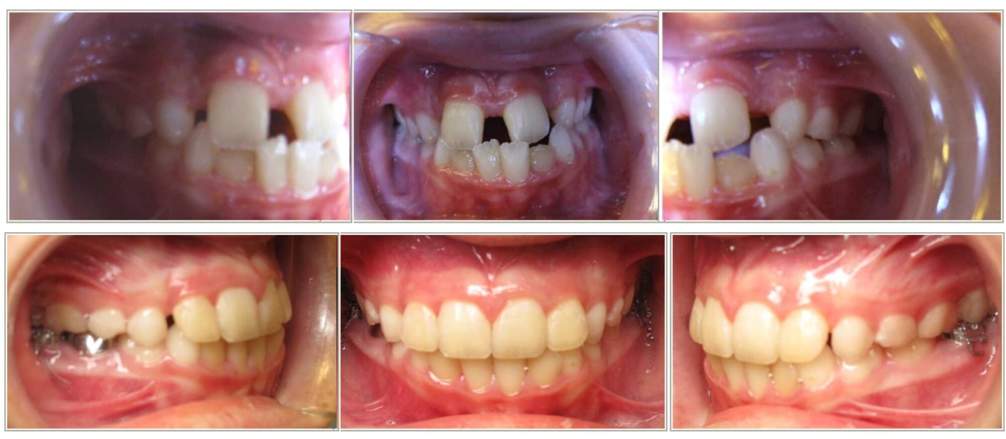
Every Smile Tells a Story

At Manning Orthodontics, every smile has a story, and these before-and-afters are worth a thousand words.